Kumpulan Soal Radiologi
Kumpulan Soal Radiologi Xliiib Diunggah oleh azizahputri Soal Test Masuk Radiologi Diunggah oleh windipijiastuti Kunci Jawaban Soal Tes Seleksi Radiologi Diunggah oleh diasayu SOAL TRYOUT UKOM D3 16 JUNI 2017-180. Download View Kumpulan Soal Radiologi Xliiib as PDF for free.
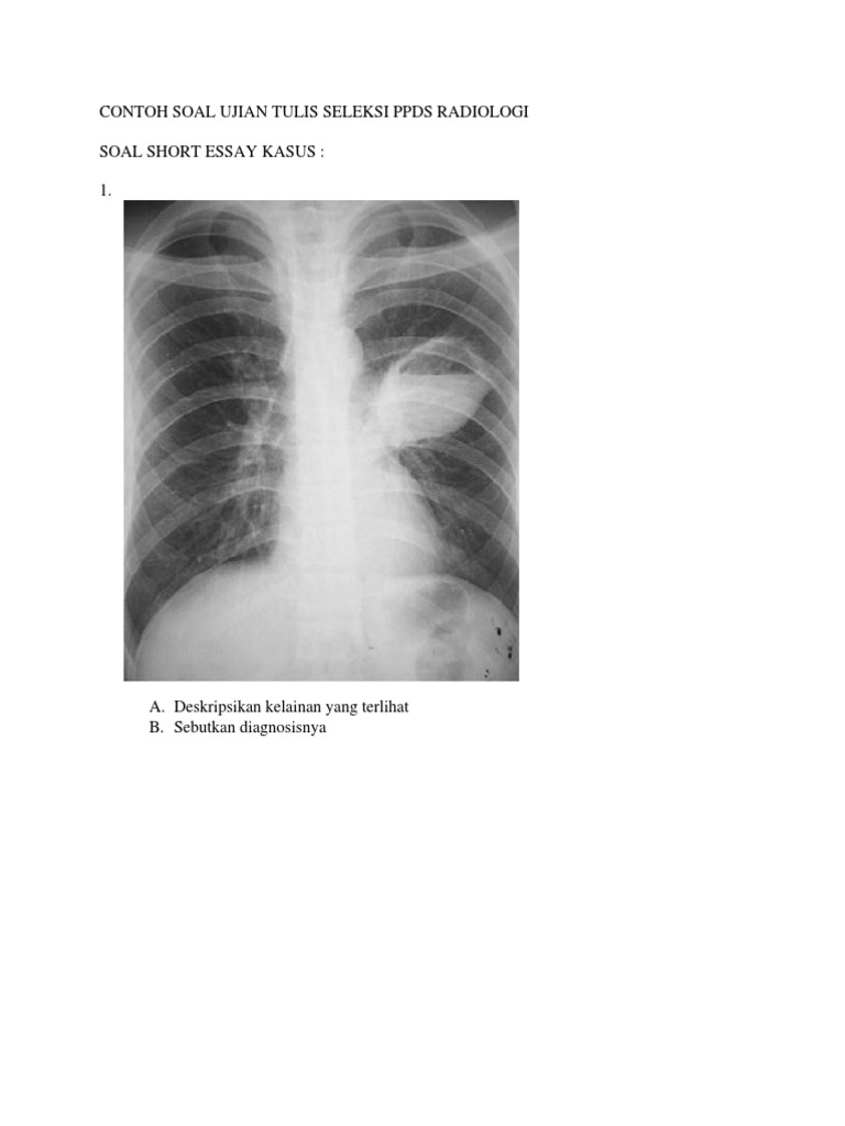
Contoh Soal Ujian Tulis Seleksi Ppds Radiologi
Pesawat Sinar X harus aman bagi pekerja radiasi selama dioperasikan salah satu tindakan keamanan terhadaop bahaya listrik maka dilakukan a.
Kumpulan soal radiologi. Kumpulan Soal Latihan Premid Semester 2 2021 Kumpulan Soal UTS Semester 2 2021 0 24022021 13032021 Written by Alpha Radiografer Semangat ujiannya sob jangan SKS ya kasihan tubuhmu. Kumpulan soal soal 21 kumpulan soal soal dan jawaban 1 lateral 1 latihan soal soal 1. Kumpulan soal radiofotografi RADIOFOTOGRAFI Disusun oleh Aida Fitria Nur Afifah SEKOLAH TINGGI ILMU KESEHATAN CIREBON PROGRAM STUDI DIPLOMA III TEKNIK RADIODIAGNOSTIK DAN RADIOTERAPI JlBrigjen.
Kumpulan Materi Radiologi Tuesday 5 March 2013 KUMPULAN SOAL-SOAL 1. Soal Pilihan Ganda Radiologi Lengkap dengan Jawaban Edisi 48 Contoh UKOM radiografer 2020 2021 pdf Edisi 47 Latihan Soal UKOM Radiografer dan Jawaban 2020 2021 Edisi 46. Prol Tape Kue Icon android.
Contoh Soal Radiologi Kumpulan Soal Radiologi Uji Kompetensi Radiografer UKOM Radiografer UKOM Radiologi UKOM Radiografer pdf beserta Jawaban Edisi 44 Intensifying Screen November 05 2019 Comment. Awalnya dulu nggak suka. Penahan radiasi dinding bangunan suatu instalasi radiologi memerlukan.
Alpha abis hiatus lama nih ga ada ide hehe. Buka resep lebih cepat lewat app. Bahkan PMK soal Terbaru.
Kumpulan Berita PMK radiologi PMK Soal Radiologi Tuai Kontroversi Apa Saja. Berikut ini adalah contoh soal persamaan dasar akuntansi beserta laporan keuangannya 1. Astrid Prihartini WD 21 Oktober 2020 JEDAID-Peraturan Menteri Kesehatan PMK soal Radiologi menuai kontroversi.
Berikut ini adalah kumpulan dari berbagi sumber tentang contoh soal uji kompetensi radiologi yang bisa gunakan untuk file revisi dan diunduh secara gratis dengan menekan tombol. Kumpulan soal dan jawaban radiologiPola bilangan berikut ini kunci jawaban untuk pertanyaan materi soal belajar dari rumah tvri untuk siswa smp. Kumpulan jurnal radiologi kedokteran gigi Berikut ini adalah file tentang kumpulan jurnal radiologi kedokteran gigi yang bisa bapakibu unduh secara gratis dengan menekan tombol download pada tautan link di bawah ini.
Kumpulan Materi Radiologi Saturday 9 March 2013 KUMPULAN SOAL-SOAL LATIHAN SOAL-SOAL PROTEKSI RADIASI Perisai sumber untuk tabung x-ray diagnostik dibuat untuk mengurangi laju penyinaran pada jarak 1. Wanita usia 50 tahun mengeluh sakit perut kanan atas yang menjalar ke bahu sejak 2 jam yang lalu. Simpan resep di App.
Kumpulan Soal UTS Semester 2 2021 Kumpulan Kuis Premid Semester 2 2021 0 15022021 13032021 Written by Alpha Radiografer Apa kabar. 1 cs 137 2 zn 65 3 c 14 4 cr 51 radioaktif yang bermanfaat dalam bidang. Jangan lupa minta restu.
Download Soal Ukdi Dan Pembahasan 2018 Pdf PDF 800 MB - SamPDF SamPDF Bahas UKMPPD 50 Soal hanya 50 menit psikiatri tht hematologi cardiorespi GI Obgyn mata for online UKMPPD class Business inquires. Contoh File Contoh Soal Akuntansi Dasar Dan Jawabannya Pdf Contoh Soal Akuntansi Akuntansi Itu Mudah. Kumpulan E-book Radiology E-BOOK RADIOLOGY - INTERPRETING CHEST X-RAYS Pemeriksaan Esophagus Soal Radiologi Gadis rusia dengan penglihatan X-Ray Kolaborasi X-Rays Photos dengan Alam Kalender Bugil versi.
Langsung saja sebentar lagi UTS. Kumpulan Soal Radiologi Kedokteran Beserta Jawaban Edisi 41 Contoh Uji Kompetensi Radiografer Soal Pa Khairil Anwar Contoh Soal Radiologi Dan Jawaban Edisi Ukom Radiografer Facebook Kumpulan Soal Radiologi Xliiib. 33 Preview Full text 1.
Pasien mengeluh bahwa kepalanya terasa sakit saat disentuh. Ngobrol seputar resep Proll tape.
Kumpulan Soal Radiologi Xliiib
Kumpulan Soal Radiologi Xliiib

Kumpulan Soal Dan Pembahasan Radiologi Kedokteran Edisi 43 Contoh Uji Kompetensi Radiografer
Soal Uji Kompetensi Anatomi Radiologi
Ujian Radiologi Periode Mei2017 Pptx

Radiologi Dasar 1 Book D3 Teknik Radiodiagnostik Dan Radioterapi Universitas Aisyiyah Yogyakarta
Bermacam Macam Kumpulan Soal Ukdi Radiology

Pemeriksaan Radiologi Pengertian Jenis Hingga Risiko
![]()
Soal Dan Jawaban Radiologi Ilmusosial Id
Bahas Soal Radiologi April Mei
Soal Dan Jawaban Radiologi Ilmusosial Id


Posting Komentar untuk "Kumpulan Soal Radiologi"